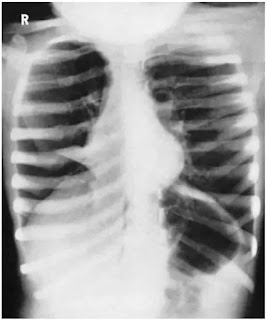
Chest lordotic x-ray in hindi
यह technique का उपयोग right middle -lobe collapse या किसी inter-lobar pleural effusion को देखने मे किया जाता हैं।
Position of patient and cassette
Patient को जिस प्रकार Chest PA projection में खड़ा किया जाता हैं ठीक उसी position खड़ा करते हैं । पेशेंट को bucky के किनारे को पकड़ाकर पीछे की ओर झुकाते है। इस dorsiflexion की degree अलग अलग subject के लिए अलग अलग होती है लेकिन सामान्यतः 30-40 डिग्री होती हैं।
Direction and centring of the x-ray beam
Horizontal central ray को cassette के लम्बवत फ़िल्म के बीच देते हैं।



